据不完全统计,中国目前肿瘤患者占了65%,其中5%为恶性患者(即癌症患者)。截止2020年,中国每年登记的癌症患者为1200万人,死亡率75%。这些年恶性肿瘤增加率逐步攀升。

①2020年全球癌症死亡病例数前十的癌症类型
2020年全球癌症死亡病例996万例, 其中肺癌死亡180万例,远超其他癌症类型,位居癌症死亡人数第一。
数据来源:世界卫生组织国际癌症研究机构(下同)

②2020年各国癌症新发病例数
(中国新发癌症人数位居全球第一)

③2020年各国癌症死亡病例数
(中国癌症死亡人数位居全球第一)
**目前肺病是中国最大的疾病之一,中国十大癌症之首就是肺癌。**记得早些年因为空气问题,很多孩子不到三岁就得了支气管炎,之后我会单独介绍相应的中医对治法。这些年国家重点治理环境污染后,空气质量明显改善了很多,重现蓝天白云。很多地方早期因为各种因素,国家的重点在政治经济上,如今的重点是整治环境,相信后期的重点会是根本上的传统人文教育。

真实案例分享

真实案例分享–严重肺部疾病

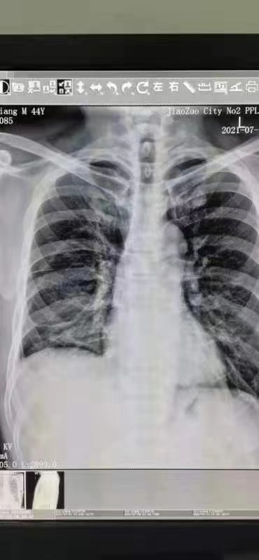
2021年7月13日 患者家属求诊,并提供医院7月6日检查报告、医院治疗后7月11日第一次复查报告
7月18日 患者开始服用中药、辅以艾灸、清淡饮食
7月22日 患者第二次医院复查
7月28日 患者出院
8月5日 患者第三次医院复查
今天我们介绍一例严重肺部疾病患者,其症状不亚于肺癌患者。很多重症其实都是早先的普通疾病慢慢转变而成的。
2021年7月13日,患者的姐姐进行求助。这得益于我们的早期新冠义诊团队建立了海内外多个养生群,所以她能第一时间找到我。
01患者情况

▲7月5日患者描述呼吸困难

病例报告显示右侧胸腔及叶间积液,右肺膨胀不全,左肺病变,左侧胸膜增厚,肝脏异常强化灶,可能血管瘤,同时肝脏还有小囊肿、右肺下叶病变。患者年龄不大,但自身有很多基础疾病。

右侧胸腔及叶间积液,右肺膨胀不全,右肺病变,
右侧淋巴开始轻度肿大,同时左肺开始慢性炎症,左侧胸膜增厚 。

医院该做的常规消炎、引流胸腔积液都做的很标准。但在医院治疗期间,患者每天处于发烧中,说话无力。
西医的强项是一般抢救、防疫和手术,其实这些在中国古代也早就有了。从记载的历史记录看,中国经历了三百多场重大疫情,都是靠传统中医最终治疗的,在当时的情况下已经算是非常先进了。
中医以前也有手术,只因为"麻沸散"失传后一度停滞,可以说麻醉药的“断货”造成了中国1千多年来医学上的落伍,也延误了无数人的救治,曹先生的这个业果算是做实了。
历代的中医名家心怀大志、情系苍生、不为名利、乐善好施、苦学医术、苦练内功,大多开启第3只透视眼。所以清代名医王清任一直告诫,不明脏腑器官,动口动手便是错。中国的传统医学将来要立足世界之巅,必然以中医为根本,因为那是最科学的,学医的人必须掌握脏腑解剖结构。
02对治方案及疗效
根据患者症状,因为不在患者边上,四诊合参不起作用。医院的很多复杂报告给了倒推的最好临床数据,结合以往治疗肺癌、新冠肺炎一万多人的经验,以中医反发热为原理,从根本上消除因积液、炎症导致的发热。
(反发热:证名,指此病本不应发热而现见发热的症状。)
也就是说,反复考量炎症、积液、发热等问题。因为肺部积液,炎症势必造成持续性的发热。单纯从退烧或者消炎来处理,就好比当时武汉的疫情,退了又来反反复复,都是因为根本问题没有解决。
肺在五行上属于娇肺,中医上一般认定肺部问题为正气不足,即风、寒、暑、湿、燥、火,外邪侵入。邪滞于肺,导致肺脏功能失调;肺气阻郁,宣降失司,气机不利,血行受阻;津液失于输布,津聚为痰,痰凝气滞,瘀阻络脉,于是痰气瘀毒胶结,日久形成肺部积块。
兼顾患者本身的基础疾病、生活环境、季节等,根据以下三点制定了中药方剂,即提升正气、疏通肺部脉络、打开肌肤腠理(肺开窍于肌肤腠理);再辅以自家的杨氏野生手工三年艾条,温灸肺部吸收积液:调理命门提升阳气、大椎贯通8条经络、足三里强壮肌体;治疗期间饮食清淡、忌口如牛奶、鸡蛋、海鲜。
患者7月18日开始服药,6天后反馈如下:




7月22日的CT检查报告,相比上次的密密麻麻一堆,最后诊断只有二句:两侧胸膜黏连;右侧可能积液,消除后留下巨大水坑。基本上无多大问题。



因此只要对症下药、诊断清楚,即可在短时间获得事半功倍的效果,当然患者的年纪、基础病、心态也是影响日常药效很重要的一部分。
三分治七分养,现在的医疗有很大部分是过度医疗。任何病,养是很重要的,尤其是一些重大疾病,更应该在日常护理、饮食、运动、心态调整上去下功夫,而不是拿付药回去喝就能好的。如果真有那么简单,每年全球不会死亡那么多病人了。
所以我们要在根上入手,想想我该怎么养病、我该怎么治病;想想我这个病到底是怎么得的。
疾病往往三大因素:气、血等四大不调;情质;不干净引起的往昔所要还的。这些在很多古医书上都有记载。我们要好好想想。
天下无难事(病),只怕有心人。一切病皆由心生。
做一个好医生,做一个有良心的医生。
小医生
2021年7月25日